Die Arthrofibrose ist eine klinisch relevante, häufig unterschätzte Ursache persistierender Gelenksteife und Schmerzen, insbesondere nach operativen Eingriffen. Für die radiologische Diagnostik spielt das Magnetresonanztomogramm (MRI) eine zentrale Rolle. Es erlaubt nicht nur den Nachweis fibrotischer Veränderungen, sondern auch die Abgrenzung zu anderen Ursachen der Bewegungseinschränkung wie Arthrose, Infektion oder mechanischen Komplikationen. Dieser Beitrag beleuchtet die Arthrofibrose aus radiologischer Sicht mit Fokus auf MRI-Befunde.
Pathophysiologie der Arthrofibrose
Die Arthrofibrose ist durch eine pathologische, überschießende Bindegewebsproliferation innerhalb des Gelenks gekennzeichnet. Auslöser ist eine gestörte Heilungsreaktion mit persistierender Aktivierung von Fibroblasten und Myofibroblasten. Diese produzieren vermehrt extrazelluläre Matrix, insbesondere Kollagen, was zu einer Verdickung und Schrumpfung der Gelenkkapsel sowie intraartikulärer Strukturen führt.
Entzündliche Mediatoren wie TGF-β, Interleukine und Wachstumsfaktoren spielen eine zentrale Rolle. Die Folge ist eine zunehmende Verminderung der Gelenkcompliance mit funktioneller Bewegungseinschränkung. Radiologisch manifestiert sich dieser Prozess als Weichteilfibrose ohne primäre Knorpeldestruktion.
Ursachen und prädisponierende Faktoren
Die Arthrofibrose tritt überwiegend sekundär auf. Häufige Auslöser sind operative Eingriffe, insbesondere am Kniegelenk, wie Kreuzbandrekonstruktionen, Endoprothesenimplantationen oder arthroskopische Eingriffe. Auch intraartikuläre Traumata, Frakturen mit Gelenkbeteiligung oder prolongierte Immobilisation begünstigen die Entstehung.
Zusätzliche Risikofaktoren sind postoperative Komplikationen wie Hämarthros, Infektionen oder eine inadäquate Rehabilitation. Patientenspezifische Faktoren wie genetische Prädisposition, entzündliche Systemerkrankungen oder eine ausgeprägte postoperative Entzündungsreaktion können den fibrotischen Prozess verstärken.
Klinisches Erscheinungsbild
Klinisch präsentiert sich die Arthrofibrose durch eine schmerzhafte, progrediente Bewegungseinschränkung. Typisch ist ein Verlust sowohl der Flexion als auch der Extension. Die Beschwerden bestehen über Wochen bis Monate und sprechen oft nur unzureichend auf konventionelle physiotherapeutische Massnahmen an.
Im Gegensatz zur Arthrose stehen mechanische Belastungsschmerzen und radiologisch erkennbare Knorpelschäden nicht im Vordergrund. Die Diskrepanz zwischen ausgeprägter Funktionseinschränkung und relativ unauffälligem Röntgenbild sollte an eine Arthrofibrose denken lassen.
Die Rolle des MRI in der Diagnostik
Das MRI ist die bildgebende Methode der Wahl zur Diagnostik der Arthrofibrose. Es erlaubt eine detaillierte Beurteilung der Gelenkkapsel, der intraartikulären Weichteile und der periartikulären Strukturen. Charakteristisch sind signalveränderte, fibrotische Areale mit niedriger Signalintensität in T1- und T2-gewichteten Sequenzen.
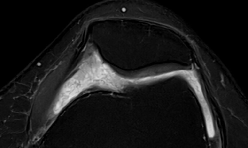
Typische MRI-Befunde
Ein häufig begleitender Befund bei Arthrofibrose ist ein persistierender, meist gering- bis mässig ausgeprägter Gelenkerguss. Dieser reflektiert die chronisch-entzündliche Komponente des Krankheitsbildes und tritt oft gemeinsam mit charakteristischen intraartikulären Weichteilveränderungen auf.
Morphologisch typisch sind filamentäre, bandförmige oder netzartige intraartikuläre Strukturen, die sich zwischen den Gelenkflächen, im suprapatellaren Rezessus oder im Hoffa-Fettkörper ausbreiten. Diese Veränderungen entsprechen fibrotischem Gewebe und zeigen im MRI ein low- bis intermediäres Signal in allen Sequenzen.

Die Synovialis erscheint häufig irregulär verdickt, ohne das Bild einer aggressiven Synovialproliferation. Nach Kontrastmittelgabe kann eine diskrete, inhomogene Kontrastmittelaufnahme auftreten, insbesondere in frühen oder noch aktiven Stadien. Ein ausgeprägt hypervaskularisiertes oder destruktives Muster fehlt jedoch.
Das Fehlen knorpelzerstörender Veränderungen, ossärer Erosionen oder aggressiver Weichteilmassen ist ein zentrales Abgrenzungskriterium gegenüber infektiösen oder neoplastischen Prozessen.
Im passenden klinischen Kontext gilt eine netzartige intraartikuläre Fibrose als nahezu pathognomonisch für eine Arthrofibrose. Die systematische Beurteilung dieser Strukturen ist daher entscheidend für die radiologische Diagnose.
Differenzialdiagnostische Abgrenzung
Radiologisch ist die Abgrenzung zur Arthrose essenziell. Während bei der Arthrose Knorpelverlust, Osteophyten und subchondrale Knochenveränderungen im Vordergrund stehen, zeigt die Arthrofibrose primär Weichteilveränderungen ohne strukturelle Knorpeldestruktion.
Auch Infektionen, synoviale Proliferationen oder mechanische Ursachen wie Implantatfehlstellungen müssen ausgeschlossen werden. Das MRI liefert hierfür entscheidende Zusatzinformationen.
Therapeutische Konsequenzen
Die Therapie der Arthrofibrose ist interdisziplinär. Früh erkannte Stadien können konservativ mit gezielter Physiotherapie, entzündungshemmenden Massnahmen und gegebenenfalls intraartikulären Injektionen behandelt werden. Das MRI kann hier zur Verlaufsbeurteilung beitragen.
Bei fortgeschrittener Fibrose mit ausgeprägter Funktionseinschränkung kommen operative Verfahren wie arthroskopische Arthrolysen in Betracht. Auch in diesem Kontext ist das MRI wichtig, um das Ausmass der Fibrose präoperativ zu erfassen und postoperative Veränderungen korrekt einzuordnen.
Fazit
Die Arthrofibrose ist eine komplexe, funktionell relevante Gelenkerkrankung, deren Diagnose wesentlich auf der Bildgebung beruht. Das MRI ermöglicht eine frühzeitige Erkennung, eine präzise morphologische Einordnung und eine sichere Abgrenzung zu anderen Ursachen der Gelenksteife. Für Radiologinnen und Radiologen ist das Verständnis der pathophysiologischen Grundlagen und der typischen MRI-Befunde entscheidend, um einen relevanten Beitrag zur klinischen Entscheidungsfindung zu leisten.
Literatur
- Mayr HO et al. Arthrofibrosis following knee surgery. Knee Surg Sports Traumatol Arthrosc. 2015.
- Magit D et al. Arthrofibrosis of the knee. J Am Acad Orthop Surg. 2007.
- Usher KM et al. Pathophysiology of arthrofibrosis. Orthop Res Rev. 2019.
- PubMed ID: 23897802



