Achillessehne – Ultraschall-Befund-Checkliste
Diese Befund-Checkliste dient der strukturierten Ultraschallbeurteilung der Achillessehne bei Verdacht auf Ruptur oder Verletzung. Sie fokussiert auf die radiologisch relevanten Kriterien zur Beschreibung von Lokalisation, Ausmass und Adaptation der Sehnenstümpfe.
Ultraschall-Checkliste Achillessehne (Ruptur)
1. Kontinuität
- ☐ intakt
- ☐ partielle Ruptur
- ☐ komplette Ruptur
2. Lokalisation
- Abstand zur kalkaneären Insertion
- ☐ insertional
- ☐ mid-portion
- ☐ muskulotendinöser Übergang
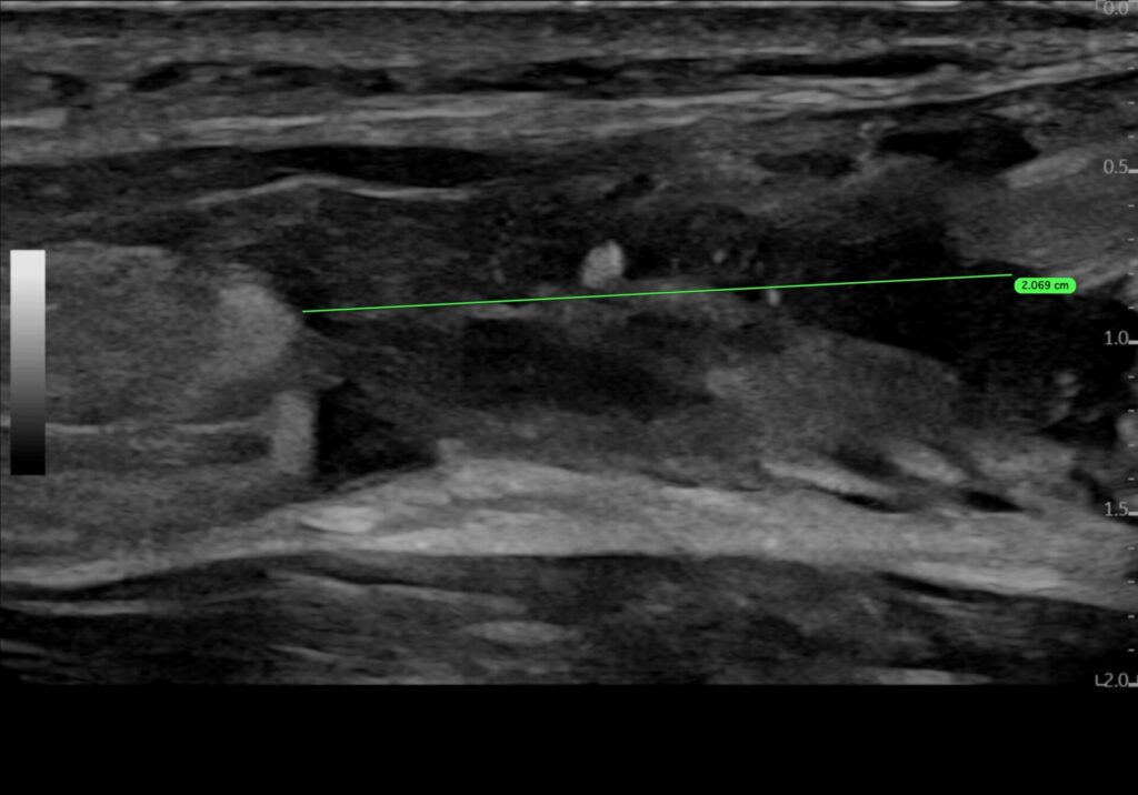
3. Diastase der Sehnenstümpfe
- Beurteilung in Neutralstellung
- Beurteilung in maximaler Plantarflexion
- Restadaptation vollständig? ☐ ja ☐ nein
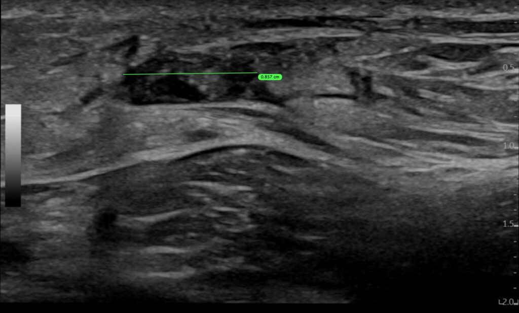
4. Sehnenenden
- ☐ glatt
- ☐ fransig
- ☐ retrahiert
- ☐ degenerativ vorgeschädigt (Tendinosezeichen)
5. Begleitbefunde
- ☐ Hämatom / Flüssigkeitskollektion
- ☐ Paratenonveränderungen
- ☐ Hypervaskularisation (Doppler)
- ☐ Beteiligung der Insertion / knöcherne Avulsion
- ☐ Bursa retrocalcanea
- ☐ Kager-Fettkörper
6. Dynamik
- Adaptation der Sehnenstümpfe in Plantarflexion
- Pathologisches Gleiten
- Vergleich zur Gegenseite (falls durchgeführt)
Befundvorlage – Ultraschall Achillessehne
Befund
Die Achillessehne zeigt eine Kontinuitätsunterbrechung im Bereich der mid-portion / des muskulotendinösen Übergangs / insertional. Die Sehnenenden erscheinen glatt / fransig und gegebenenfalls retrahiert. In Neutralstellung besteht eine Diastase der Sehnenstümpfe. In Plantarflexion zeigt sich eine Annäherung der Sehnenenden mit vollständiger / unvollständiger Adaptation.
Begleitend Nachweis peritendinöser Flüssigkeit bzw. eines Hämatoms. Das Paratenon erscheint unauffällig / verdickt. Eine vermehrte vaskuläre Signalgebung im Doppler ist vorhanden / nicht vorhanden. Die kalkaneäre Insertion ist unauffällig / mitbeteiligt. Hinweise auf eine knöcherne Avulsion bestehen / bestehen nicht.
Beurteilung
Sonographischer Befund vereinbar mit einer partiellen / kompletten Ruptur der Achillessehne. Die Adaptationsfähigkeit der Sehnenstümpfe in Plantarflexion ist beschrieben. Die weiteren Befunddetails ergeben sich aus der obenstehenden Darstellung.
